
Bókaðu tíma í Reykjavík
Ráðgjöf
Meðferð hefst með ítarlegri greiningu og ráðgjöf
- OPG myndataka
- 3D CBCT myndataka
- Skoðun hjá tannlækni
- Viðtal við ráðgjafa
- Meðferðaráætlun
ATH: Sjúkratryggingar íslands taka þátt í allt að 70% af kostnaði vegna almenna tannlækninga fyrir ellilífeyrisþega og örorkulífeyrisþega
Tannlæknastofa í Reyjavík,
þar sem ferlið hefst

Svona gengur ferlið fyrir sig
1. Ráðgjöf í Reykjavík
2. Meðferðin
Við aðstoðum þig í gegnum allt ferlið.
3. Eftirlit og viðhald

Við tökum á móti þér og
fylgjum þér í gegnum allt ferlið
Orion Dental í Budapest hefur hlotið alþjóðlega viðurkenningu sem All-on-4 Center of Excellence, það er staðfesting á hæsta gæðastigi í meðferðum okkar.
Það sem fólk er að segja
-
Ég er mjög ánægð með þá þjónustu sem ég fékk. Nú er ég með hvítar fyllingar í stað þeirra gömlu silfurlituðu. Tannlæknirinn er svo léttur í skapi og notalegur að... Lesa nánar það er næstum því gott þegar hann lagfærir tennurnar. Fagmennskan í fyrirrúmi. Kostnaðaráætlun stóðst 100%. Hótel og fararstjórn til fyrirmyndar og rúsínan í pylsuendanum er að það er búið að opna stofu á Íslandi. Frábært!
Sigrún J.
Ég er búinn að fara í allsherjar klössun á mínum tönnum. Alveg hreint frábær þjónusta bæði hjá tannlæknastofunni og fararstjórunum Valla og Aroni. Nú er ég farinn að brosa á... Lesa nánar myndum aftur! 😁🦷. Svo er ég mjög ánægður að þeir séu búnir að opna stofu á Íslandi, ef eitthvað kemur uppá í framtíðinni. ( þeir einu sem eru bæði í Búdapest og Íslandi). Get mælt 100% með Orion Dental.
Hjörvar M.
100%Fagmenska yndælt fólk Farastjórar frábærir mæli svo með þeim öllum mun mæla með þeim allan daginn 👌👌😀😀 8Stjörnur
Jóna H.
-
Eftir að hafa skoðað ýmsa möguleika og frestað þessu í lengri tíma þá ákvað ég að stökkva á þetta hjá þeim. Fagmenn fram í fingurgóma sem ráðlögðu mér það besta... Lesa nánar fyrir mig. Hótelið geggjað, farastjórinn með allt upp a 10. 5 stjörnur frá mér.
Erling P.
Takk fyrir mig, þjónusta og gæðin fyrsta flokks. Hlakka til að koma í september.
Hörður M.
Èg vill þakka kærlega fyrir mig, þjònustan hjá þeim upp á 10, gæðin á Akos tannlækni þvìlìk. lìka gaman að stofan er staðsett alveg ì bænum
Sigurdur P.
-
Frábær stofa þar sem fagmennska og notalegt viðmót ríkir ásamt góðu utanumhaldi fararstjóra ⭐⭐⭐⭐🌟
Björg B.
Mæli 100% með Orion Dental, - fagmennska og þægilegt viðmót ⭐⭐⭐⭐⭐
Eiríkur J.
Mæli 100% með þessum ferðum út!! - frábærir tannlæknar og frábær verð og þjónusta⭐️⭐️⭐️⭐️⭐️
Sigurrós B.
-
mæli eindregið með þeim allt uppá 10
Steini H.
gæti ekki mælt meira með, frábærir tannlæknar og skemmtilegir fararstjórar. 10/10🔛🔝
Magdalena Ý.
Alger snilld ⭐️⭐️⭐️⭐️⭐️ Allt stóðst og fagmennskan upp á 10 Mæli 100% með
Maríanna P.
-
Great place and service! 🦷😃
Marge N.
good people and good service
Erla B.
wery good service, good professionals and very nice hotel in the same building... best one
Þórdís G.
-
Amazed! 👌🏻 Frabær þjónusta, fagleg vinna og persónuleg þjónusta. #Tannheilsa
Jacqueline B.
Mæli 100% með Fedaz, allt upp á 10, frábær stofa, mikil fagmennska, yndislegt starfsfólk og fullkominn vinnubrögð😁
Gísli V.
Fór í afar stóra tannviðgerð hjá þeim.Gæti ekki verið sáttari.Fagmennska,rólegt og þægilegt umhverfi.Frábært starfsfólk í alla staði.Mæli 100% með Fedasz dental ef þú vilt fá frábærar tannlækningar á sanngjörnu verð. Allan... Lesa nánar daginn 5 Stjörnur
Sæmundur K.
Tannlæknastofa í Budapest,
fyrir stærri meðferðir

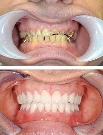
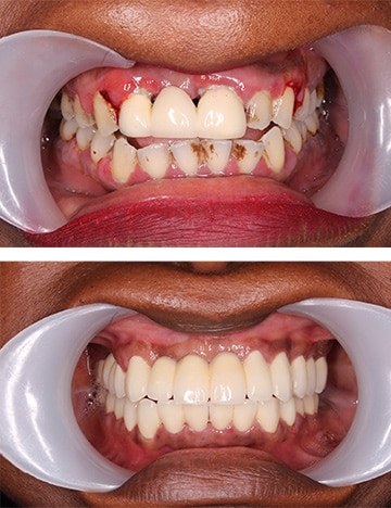
Fyrir og eftir




Algengar meðferðir hjá okkur

Krónur

All-on-4

Fyllingar

Tannplantar

Tannhreinsun
Tannhreinsun fjarlægir tannstein og bletti af tönnunum þínum og gerir þær skýnandi hreinar
